男,44岁,右上腹痛半年,腹部未触及包块,轻度黄疸,AFP阴性,CT检查如图,最可能的诊断为()A.原发性肝癌B.胆管细胞癌C.肝...

作者: rantiku 人气: - 评论: 0
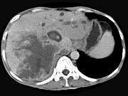
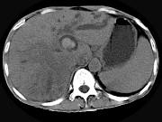
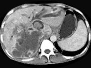
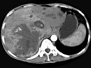
问题 男,44岁,右上腹痛半年,腹部未触及包块,轻度黄疸,AFP阴性,CT检查如图,最可能的诊断为()
选项 A.原发性肝癌 B.胆管细胞癌 C.肝囊肿 D.肝脓肿 E.肝血管瘤
答案 B
解析

猜你喜欢

发表评论
更多 网友评论0 条评论)
暂无评论

访问排行

Copyright © 2012-2014 题库网 Inc. 保留所有权利。 Powered by tikuer.com

页面耗时0.0397秒, 内存占用1.03 MB, Cache:redis,访问数据库20次