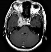
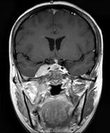
女,34岁。右侧听力下降,耳鸣2个月。MRI平扫及增强扫描如图示,最可能的诊断是()A.鼻咽癌B.脑膜瘤C.神经源性肿瘤D.动...

作者: rantiku 人气: - 评论: 0
问题 女,34岁。右侧听力下降,耳鸣2个月。MRI平扫及增强扫描如图示,最可能的诊断是()
选项 A.鼻咽癌 B.脑膜瘤 C.神经源性肿瘤 D.动脉瘤 E.未见异常
答案 A
解析

猜你喜欢

发表评论
更多 网友评论0 条评论)
暂无评论

访问排行

Copyright © 2012-2014 题库网 Inc. 保留所有权利。 Powered by tikuer.com

页面耗时0.0288秒, 内存占用1.03 MB, Cache:redis,访问数据库20次