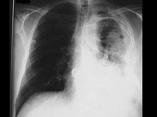
男,28岁,因咳嗽、胸痛、高热入院,左胸穿刺抽出黄色脓液,稠厚,不臭,摄胸片如图所示,为指导治疗,下述病史中哪项最有意义 ( )A、2周前有“上感”史...

作者: rantiku 人气: - 评论: 0
问题 男,28岁,因咳嗽、胸痛、高热入院,左胸穿刺抽出黄色脓液,稠厚,不臭,摄胸片如图所示,为指导治疗,下述病史中哪项最有意义 ( )
选项 A、2周前有“上感”史 B、1周前有左侧肺炎史 C、1个月前有左前臂伤口感染史 D、2周前有左侧胸外伤史 E、半年前有左侧肺结核史
答案 B
解析

猜你喜欢

发表评论
更多 网友评论0 条评论)
暂无评论

访问排行

Copyright © 2012-2014 题库网 Inc. 保留所有权利。 Powered by tikuer.com

页面耗时0.0312秒, 内存占用1.03 MB, Cache:redis,访问数据库20次