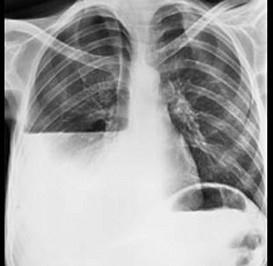
如图,脓胸病人的X胸片出现液气平面,可能有下列哪些原因 ( )A、膈疝合并肠穿孔B、以上都是C、支气管或气管瘘D、食管穿孔E、曾经作过...

作者: rantiku 人气: - 评论: 0
问题 如图,脓胸病人的X胸片出现液气平面,可能有下列哪些原因 ( )
选项 A、膈疝合并肠穿孔 B、以上都是 C、支气管或气管瘘 D、食管穿孔 E、曾经作过胸腔穿刺
答案 B
解析

猜你喜欢

发表评论
更多 网友评论0 条评论)
暂无评论

访问排行

Copyright © 2012-2014 题库网 Inc. 保留所有权利。 Powered by tikuer.com

页面耗时0.0435秒, 内存占用1.03 MB, Cache:redis,访问数据库20次