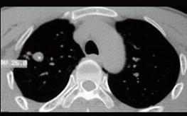
男性,25岁,低热、咳嗽2月。胸部CT见图,最可能的诊断是 ( )A、肺脓肿B、支气管扩张C、肺结核球D、肺癌E、急性血行播散型肺结核

作者: rantiku 人气: - 评论: 0
问题 男性,25岁,低热、咳嗽2月。胸部CT见图,最可能的诊断是 ( )
选项 A、肺脓肿 B、支气管扩张 C、肺结核球 D、肺癌 E、急性血行播散型肺结核
答案 C
解析

猜你喜欢

发表评论
更多 网友评论0 条评论)
暂无评论

访问排行

Copyright © 2012-2014 题库网 Inc. 保留所有权利。 Powered by tikuer.com

页面耗时0.0294秒, 内存占用1.03 MB, Cache:redis,访问数据库18次