病历摘要:??患者,男,40岁。发作性左下肢抽搐1年余,每次发作3~5分,每周发作1~2次。每次发作后感左下肢乏力,约半日后可自行恢复。既往身体健康。体检...

作者: rantiku 人气: - 评论: 0
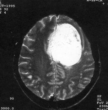
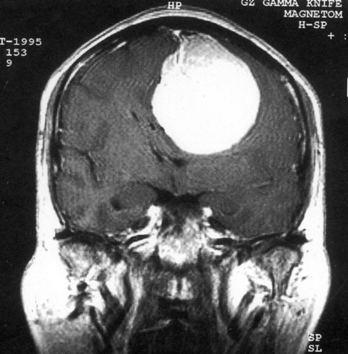
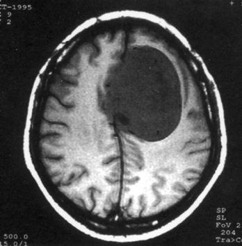
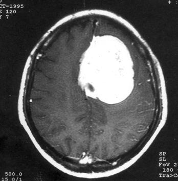
问题 病历摘要:??患者,男,40岁。发作性左下肢抽搐1年余,每次发作3~5分,每周发作1~2次。每次发作后感左下肢乏力,约半日后可自行恢复。既往身体健康。体检:神清,头顶部偏右有局限性骨性隆起(1.5×1.5cm),左鼻唇沟稍浅,伸舌居中。感觉、运动无明显异常。左浅反射减退,左下肢腱反射稍亢进,左Babinski征(-)。 下列对该患者的临床特点分析哪些是正确的?
选项 A.有Jackson癫痫发作 B.有Todd氏麻痹 C.有精神运动性癫痫发作 D.右中央前回可能有刺激性病灶存在 E.右中央后回可能有破坏性病灶存在 F.有失张力发作 G.右锥体束征(+) H.有颅内高压表现
答案 ABDG
解析 ABDG
发表评论
更多 网友评论0 条评论)
暂无评论

访问排行

Copyright © 2012-2014 题库网 Inc. 保留所有权利。 Powered by tikuer.com

页面耗时0.0246秒, 内存占用1.03 MB, Cache:redis,访问数据库19次