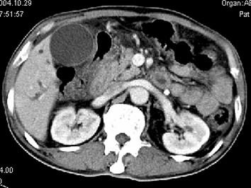
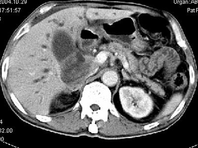
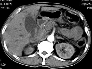
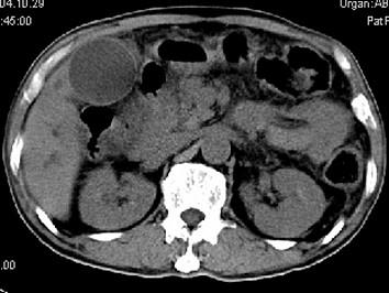
男,58岁,患者右季肋区疼痛,皮肤黄染,可触及肿大胆囊,B超提示胆囊颈部肿块影,CT所见如图,最可能的诊断是 ( )A、慢性胆囊炎B、...

作者: rantiku 人气: - 评论: 0
问题 男,58岁,患者右季肋区疼痛,皮肤黄染,可触及肿大胆囊,B超提示胆囊颈部肿块影,CT所见如图,最可能的诊断是 ( )
选项 A、慢性胆囊炎 B、胆囊腺肌增生症 C、胆囊癌 D、胆囊黄色肉芽肿 E、胆囊息肉
答案 C
解析

猜你喜欢

发表评论
更多 网友评论0 条评论)
暂无评论
错误啦!

错误信息

  • 消息: [程序异常] : MISCONF Redis is configured to save RDB snapshots, but it's currently unable to persist to disk. Commands that may modify the data set are disabled, because this instance is configured to report errors during writes if RDB snapshotting fails (stop-writes-on-bgsave-error option). Please check the Redis logs for details about the RDB error.
  • 文件: /twcms/kongphp/cache/cache_redis.class.php
  • 位置: 第 85 行
    <?php echo 'KongPHP, Road to Jane.'; ?>