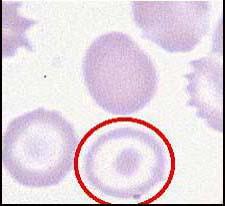
图所示红细胞是 ( )A、镰形红细胞B、泪滴形红细胞C、口形红细胞D、球形红细胞E、靶形红细胞

作者: rantiku 人气: - 评论: 0
问题 图所示红细胞是 ( )
选项 A、镰形红细胞 B、泪滴形红细胞 C、口形红细胞 D、球形红细胞 E、靶形红细胞
答案 E
解析

猜你喜欢

发表评论
更多 网友评论0 条评论)
暂无评论

访问排行

Copyright © 2012-2014 题库网 Inc. 保留所有权利。 Powered by tikuer.com

页面耗时0.0252秒, 内存占用1.03 MB, Cache:redis,访问数据库18次