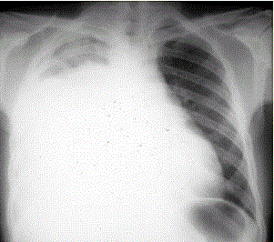
患者男,34岁。进行性胸闷、气促1个月余,伴有干咳、右胸隐痛以及消瘦,无咯血、发热、盗汗、潮热等。(提示 胸部X线检查如图所示)诊断明确后,可...

作者: rantiku 人气: - 评论: 0
问题 患者男,34岁。进行性胸闷、气促1个月余,伴有干咳、右胸隐痛以及消瘦,无咯血、发热、盗汗、潮热等。 (提示 胸部X线检查如图所示) 诊断明确后,可考虑的治疗方法是(提示 患者经积极处理后上述症状明显好转。1周后已明确诊断。)
选项 A.外科手术 B.全身化疗 C.抗结核治疗 D.利尿治疗 E.化学性胸膜固定术 F.埋置胸腔导管引流 G.抗感染治疗
答案 BEF
解析 BEF

猜你喜欢

发表评论
更多 网友评论0 条评论)
暂无评论

访问排行

Copyright © 2012-2014 题库网 Inc. 保留所有权利。 Powered by tikuer.com

页面耗时0.0269秒, 内存占用1.03 MB, Cache:redis,访问数据库19次