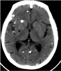
患者男,45岁。头痛、癫痫10余年。查体:无发热,双侧肢体肌力正常。脑电图示双侧额颞叶棘波放电。CT表现如下图。头颅CT检查中,可见囊虫头节钙化,...

作者: rantiku 人气: - 评论: 0
问题 患者男,45岁。头痛、癫痫10余年。查体:无发热,双侧肢体肌力正常。脑电图示双侧额颞叶棘波放电。CT表现如下图。 头颅CT检查中,可见囊虫头节钙化,其分期是
选项 A.囊胞期 B.胶样囊胞期 C.肉芽肿结节期 D.结节钙化期 E.脑膜型 F.脑实质型
答案 D
解析 D

猜你喜欢

发表评论
更多 网友评论0 条评论)
暂无评论

Copyright © 2012-2014 题库网 Inc. 保留所有权利。 Powered by tikuer.com

页面耗时0.0327秒, 内存占用1.03 MB, Cache:redis,访问数据库18次