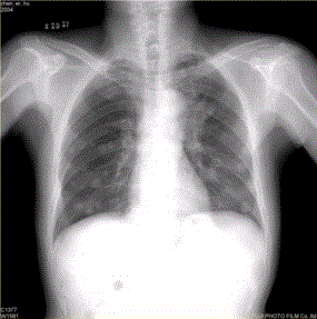
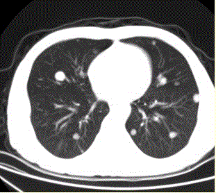
患者男,45岁,因肝硬化、肝癌行肝移植术后6个月,咳嗽2周,来院复查。CR及CT影像如下图。肺内转移结节可为A.弥漫性粟粒结节B.单发结节...

作者: rantiku 人气: - 评论: 0
问题 患者男,45岁,因肝硬化、肝癌行肝移植术后6个月,咳嗽2周,来院复查。CR及CT影像如下图。 肺内转移结节可为
选项 A.弥漫性粟粒结节 B.单发结节 C.结节发生坏死形成空洞 D.钙化结节 E.带毛刺的结节 F.含脂肪成分的结节
答案 ABCDE
解析 ABCDE

猜你喜欢

发表评论
更多 网友评论0 条评论)
暂无评论

Copyright © 2012-2014 题库网 Inc. 保留所有权利。 Powered by tikuer.com

页面耗时0.0337秒, 内存占用1.03 MB, Cache:redis,访问数据库19次