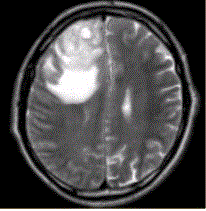
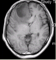
患者女,67岁,头痛伴呕吐1周。既往体健。MR表现如下图。多形性成胶质细胞瘤的转移途径不包括A.室管膜B.淋巴转移C.脑膜D.血管周围间隙...

作者: rantiku 人气: - 评论: 0
问题 患者女,67岁,头痛伴呕吐1周。既往体健。MR表现如下图。 多形性成胶质细胞瘤的转移途径不包括
选项 A.室管膜 B.淋巴转移 C.脑膜 D.血管周围间隙 E.也可转移至颅外
答案 B
解析

猜你喜欢

发表评论
更多 网友评论0 条评论)
暂无评论

Copyright © 2012-2014 题库网 Inc. 保留所有权利。 Powered by tikuer.com

页面耗时0.0287秒, 内存占用1.03 MB, Cache:redis,访问数据库19次