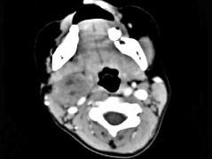
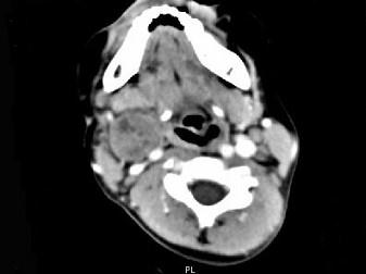
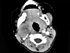
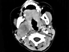
女,4岁,右侧颈部可扪及一包块约两个月,无热无痛,CT如图所示,最可能的诊断为 ( )A、咽旁神经纤维瘤B、咽旁小唾液腺混合瘤C、...

作者: rantiku 人气: - 评论: 0
问题 女,4岁,右侧颈部可扪及一包块约两个月,无热无痛,CT如图所示,最可能的诊断为 ( )
选项 A、咽旁神经纤维瘤 B、咽旁小唾液腺混合瘤 C、咽旁副神经节瘤 D、咽旁脓肿 E、咽旁血管外皮瘤
答案 A
解析

猜你喜欢

发表评论
更多 网友评论0 条评论)
暂无评论

访问排行

Copyright © 2012-2014 题库网 Inc. 保留所有权利。 Powered by tikuer.com

页面耗时0.0315秒, 内存占用1.03 MB, Cache:redis,访问数据库20次