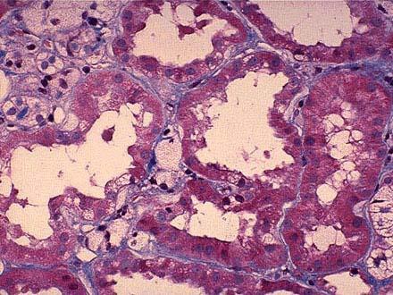
男,8岁,反复肉眼血尿1年,肾穿刺活检镜下如图所示,家族中其他成员有相关病史,被诊断为遗传性肾炎,关于该疾病的描述错误的是 ( )A.患者有进行性肾损...

作者: rantiku 人气: - 评论: 0
问题 男,8岁,反复肉眼血尿1年,肾穿刺活检镜下如图所示,家族中其他成员有相关病史,被诊断为遗传性肾炎,关于该疾病的描述错误的是 ( )
选项 A.患者有进行性肾损害的家族史,常伴耳聋 B.可分为幼年型和成年型 C.即使疾病晚期也不出现蛋白尿 D.该疾病早期镜下可无变化或轻度节段系膜细胞增生伴毛细血管轻微增厚 E.该疾病后期镜下见肾小球呈节段和球形硬化,肾小管间质硬化和泡沫状细胞散在
答案 C
解析

猜你喜欢

发表评论
更多 网友评论0 条评论)
暂无评论

访问排行

Copyright © 2012-2014 题库网 Inc. 保留所有权利。 Powered by tikuer.com

页面耗时0.0391秒, 内存占用1.03 MB, Cache:redis,访问数据库19次